CST NF-kappaB p65 (D14E12) XP ® Rabbit mAb 8242S
通过采用与人 NF-κB p65/RelA 蛋白的 Glu498 周围的残基相对应的合成肽对动物进行免疫接种来产生单克隆抗体。
Confocal immunofluorescent analysis of HT-1080 cells, untreated (left) or treated with hTNF-α #8902 (20 ng/ml, 20 min) (right), using NF-κB p65 (D14E12) XP® Rabbit mAb (green). Actin filaments were labeled with DY-554 phalloidin (red). Blue pseudocolor = DRAQ5® #4084 (fluorescent DNA dye).共聚焦免疫荧光分析HT-1080 细胞核,未经处理 (左图)或 经hTNF-α #8902 (20 ng/ml, 20 min) (右图)处理, 所用抗体为NF-κB p65 (D14E12) XP® Rabbit mAb (绿色) 肌动蛋白微丝用DY-554 phalloidin标记(红色)。Blue pseudocolor=DRAQ5® #4084 DNA 荧光染料。
Chromatin immunoprecipitations were performed with cross-linked chromatin from 4 x 106 HeLa cells treated with hTNF-α #8902 (30 ng/ml, 1 hr) and either 5 μl of NF-κB p65 (D14E12) XP® Rabbit mAb or 2 μl of Normal Rabbit IgG #2729 using SimpleChIP® Enzymatic Chromatin IP Kit (Magnetic Beads) #9003. The enriched DNA was quantified by Real-Time PCR using SimpleChIP® Human IκBα Promoter Primers #5552, human IL-8 promoter primers, and SimpleChIP® Human α Satellite Repeat Primers #4486. The amount of immunoprecipitated DNA in each sample is represented as signal relative to the total amount of input chromatin, which is equivalent to one.染色质免疫共沉淀。HeLa细胞培养至4 x 106,并用hTNF-α #8902 (30 ng/ml, 1 hr)处理后,将染色质交联到玻片上,然后用SimpleChIP® Enzymatic Chromatin IP Kit (Magnetic Beads) #9003进行免疫沉淀实验,本实验中用5 μl of NF-κB p65 (D14E12) XP® Rabbit mAb抗体或2 μl Normal Rabbit IgG #2729 。对富集的DNA做real-time PCR,所用引物为SimpleChIP® Human IκBα Promoter Primers #5552, human IL-8 promoter primers和SimpleChIP® Human α Satellite Repeat Primers #4486。每个样本中沉淀的DNA量定义为相对信号与输入的总染色质相比的数值。
Western blot analysis of extracts from various cell lines using NF-κB p65 (D14E12) XP® Rabbit mAb.Western免疫印迹。用NF-κB p65 (D14E12) XP® Rabbit mAb研究各种类型细胞的细胞提取液。
Flow cytometric analysis of HeLa cells using NF-κB p65 (D14E12) XP® Rabbit mAb (blue) compared to concentration matched Rabbit (DA1E) mAb IgG XP® Isotype Control #3900 (red).流式细胞仪研究HeLa细胞,所用抗体为NF-κB p65 (D14E12) XP® Rabbit mAb (蓝色) 浓度相匹配的 Rabbit (DA1E) mAb IgG XP® 同型对照#3900 (红色)。
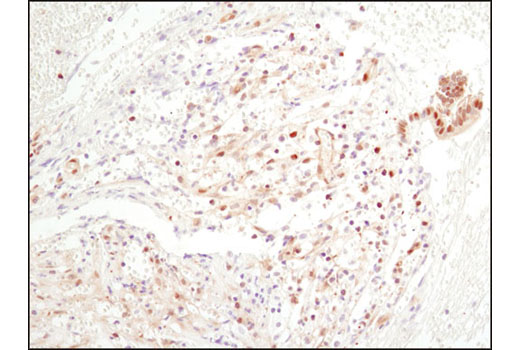
Immunohistochemical analysis of paraffin-embedded human chronic cholecystitis using NF-κB p65 (D14E12) XP® Rabbit mAb.免疫组织化学染色分析石蜡包埋人慢性胆囊炎组织。所用抗体为NF-κB p65 (D14E12) XP® Rabbit mAb。




