CST Phospho-p44/42 MAPK (Erk1/2) (Thr202/Tyr204) (D13.14.4E) XP ® Rabbit mAb 4370S 4370L 4370T

产品介绍

CST Phospho-p44/42 MAPK (Erk1/2) (Thr202/Tyr204) (D13.14.4E) XP ® Rabbit mAb 4370S

 

货号: 4370S
品牌: CST

规格:200ul

 

使用与人 p44 MAP 激酶的 Thr202/Tyr204 周围的残基相对应的合成磷酸肽,对动物进行免疫接种来产生单克隆抗体。

 

CST  Phospho-p44/42 MAPK (Erk1/2) (Thr202/Tyr204) (D13.14.4E) XP ® Rabbit mAb  4370S 4370L 4370T

Western blot analysis of extracts from 293, NIH/3T3 and C6 cells, treated with λ phosphatase or TPA as indicated, using Phospho-p44/42 MAPK (Erk1/2) (Thr202/Tyr204) (D13.14.4E) XP® Rabbit mAb (upper), or p44/42 MAPK (Erk1/2) (137F5) Rabbit mAb #4695 (lower).

CST  Phospho-p44/42 MAPK (Erk1/2) (Thr202/Tyr204) (D13.14.4E) XP ® Rabbit mAb  4370S 4370L 4370T

 

Immunohistochemical analysis using Phospho-p44/42 MAPK (Erk1/2) (Thr202/Tyr204) (D13.14.4E) XP® Rabbit mAb on SignalSlide™ Phospho-p44/42 MAPK (Thr202/Tyr204) IHC Controls #8103 (paraffin-embedded NIH/3T3 cells, treated with U0126 #9903 (left) or TPA #4174 (right).

 

CST  Phospho-p44/42 MAPK (Erk1/2) (Thr202/Tyr204) (D13.14.4E) XP ® Rabbit mAb  4370S 4370L 4370T

免疫组织化学方法检测SignalSlide™ Phospho-p44/42 MAPK (Thr202/Tyr204) IHC Controls #8103(石蜡包埋的NIH/3T3细胞,左侧为经U0126 #9903处理,右侧为经TPA #4174 处理)。使用的抗体为中的Phospho-p44/42 MAPK (Erk1/2) (Thr202/Tyr204) (D13.14.4E) XP® Rabbit mAb兔单抗。

CST  Phospho-p44/42 MAPK (Erk1/2) (Thr202/Tyr204) (D13.14.4E) XP ® Rabbit mAb  4370S 4370L 4370T

 

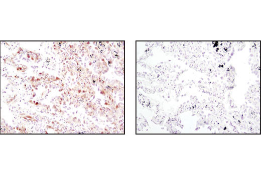
Immunohistochemical analysis of paraffin-embedded human lung carcinoma, untreated (left) or λ phosphatase-treated (right), using Phospho-p44/42 MAPK (Erk1/2) (Thr202/Tyr204) (D13.14.4E) XP® Rabbit mAb.

 

CST  Phospho-p44/42 MAPK (Erk1/2) (Thr202/Tyr204) (D13.14.4E) XP ® Rabbit mAb  4370S 4370L 4370T

免疫组织化学方法检测石蜡包埋的人肺癌组织,左侧样品未经处理,右侧样品经λ磷酸酶处理。使用的抗体为Phospho-p44/42 MAPK (Erk1/2) (Thr202/Tyr204) (D13.14.4E) XP® Rabbit mAb兔单抗。

CST  Phospho-p44/42 MAPK (Erk1/2) (Thr202/Tyr204) (D13.14.4E) XP ® Rabbit mAb  4370S 4370L 4370T

 

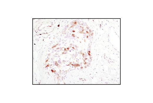
Immunohistochemical analysis of paraffin-embedded human breast carcinoma using Phospho-p44/42 MAPK (Erk1/2) (Thr202/Tyr204) (D13.14.4E) XP® Rabbit mAb.

 

CST  Phospho-p44/42 MAPK (Erk1/2) (Thr202/Tyr204) (D13.14.4E) XP ® Rabbit mAb  4370S 4370L 4370T

免疫组织化学方法检测石蜡包埋的人乳腺癌组织。使用的抗体为Phospho-p44/42 MAPK (Erk1/2) (Thr202/Tyr204) (D13.14.4E) XP® Rabbit mAb兔单抗。

CST  Phospho-p44/42 MAPK (Erk1/2) (Thr202/Tyr204) (D13.14.4E) XP ® Rabbit mAb  4370S 4370L 4370T

 

Flow cytometric analysis of Jurkat cells, U0126-treated (blue) or PMA-treated (green), using Phospho-p44/42 MAPK (Erk1/2) (Thr202/Tyr204) (D13.14.4E) XP® Rabbit mAb.

 

CST  Phospho-p44/42 MAPK (Erk1/2) (Thr202/Tyr204) (D13.14.4E) XP ® Rabbit mAb  4370S 4370L 4370T

流式方法检测细胞提取物:U0126处理的(蓝色)、PMA处理的(绿色)Jurkat细胞,使用的抗体是Phospho-p44/42 MAPK (Erk1/2) (Thr202/Tyr204) (D13.14.4E) XP® Rabbit mAb兔单抗。

 

发表评论